Desde a recepção até os consultórios, na nossa clínica odontológica você encontrará um ambiente agradável e planejado para proporcionar uma sensação de conforto e bem estar. Com muito conforto e um tratamento humanizado, você será recebido por nossa equipe com profisionais altamente qualificados para melhor atendê-lo.
Buscando um tratamento preventivo, com visitas periódicas ao dentista, realizando limpezas bucais, aplicação de flúor e orientações sobre prevenção, estabelecemos parcerias com as princiais empresas de planos odontológicos.
A bichectomia, ou lipoplastia facial, é um procedimento cirúrgico de retirada parcial da bola de Bichat, que é um tecido gorduroso. Essa remoção faz com que as bochechas fiquem menores, resultando em uma aparência de rosto mais fino e alongado.
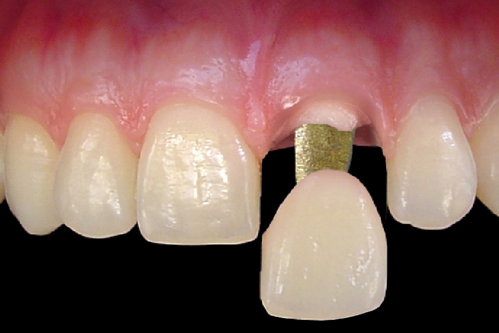
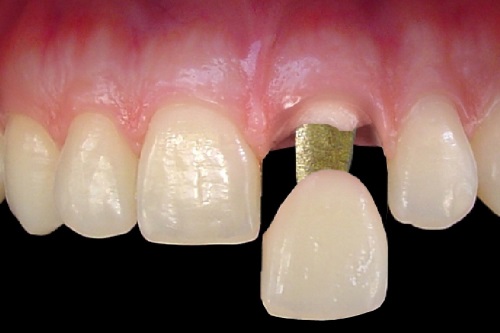
Implante dentário é um cilindro (pino) de titânio colocado dentro do osso, abaixo da gengiva e que tem a função de fazer o mesmo papel da raiz do dente. Em cima do implante é que o cirurgião dentista coloca o novo dente.
Tratamento estético com paralisação de músculos faciais, conhecido por disfarçar rugas de expressão e flacidez no rosto, é utilizada também no tratamento odontológico para a resolução dos casos de sorriso gengival, tratamento do bruxismo e dores de cabeça de origem odontológica, dentre outros.
Esse procedimento nada mais é do que a colocação de uma faceta que cobre a superfície dos dentes, podendo mudar seu formato, corrigir imperfeições, fechar espaços e deixar os dentes mais brancos.
O clareamento dental é um tratamento realizado com substâncias químicas, que modificam a cor do dente. O principal ingrediente que age no clareamento dental é oxigênio, que é proveniente do peróxido de hidrogênio ou peróxido de carbamida.
Especialidade odontológica que corrige a posição dos dentes e dos ossos maxilares posicionados de forma inadequada. O tratamento ortodôntico torna a boca mais saudável, proporciona uma aparência mais agradável e dentes com possibilidade de durar a vida toda.
Com um tratamento humanizado, você será recebido por profisionais altamente qualificados para melhor atendê-lo.
Com profissionais altamente qualificados, nossos especialistas oferecem diagnósticos e tratamento seguros, eficazes e cientificamente comprovados.
CRO: 49.316
Clínica Geral - Harmonização Facial
CRO/MG: 20.258
Endodontia
CRO/MG 27.517
Ortodontia (Facetas de Porcelanas)
CRO/MG 47.082
Clínica Geral e Harmonização Orofacial
CRO/MG 16.722
Clínico Geral e Prótese
CRO/MG 40.153
Implantodontista
Preencha os dados abaixo e envie sua mensagem.
EndereçoAv. Amazonas, 115, sala 411
Centro - Belo Horizonte - MG
Tel.: (31) 3214-2027
Email contato@odontomedmais.com.br